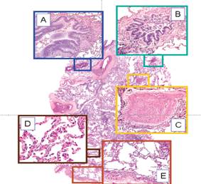
ISYS has dedicated team of pathologists and pathology informatics scientists involved in offering reporting services for pathology. ISYS currently offers anatomical pathology, immunohistochemistry, and tissue microarrays. For conventional anatomical pathology work we offer tissue processing, microtomy and basic staining with H&E. Specialized staining techniques such as Oil Red-O etc., are used for specific tissue characterization. Immunohistochemistry services at ISYS are focused on using the latest available antibody stains for several signaling pathways. More recently our pathologists have started using RT-PCR methods for tissue biomarker quantification. ISYS also has expertise with Tissue arrays techniques using proteomic quantification methods.
![]() |
![]() |
![]() |
To support high-resolution pathology work ISYS has developed a large integrated image data repository for managing diverse file formats such as JPEG, TIFF , Aperio ScanScope file formats etc., The pathology image repository has in-built audit trail system for enhanced regulatory compliance. Using industry standard compression techniques large volumes of pathology images are securely transferred between the pathology lab to the pathology review facility.
Pathology image analysis at ISYS is performed by trained histopathologists with specialization in each tissue type and staining technique. Histopathologists are regularly trained and qualified to use novel antibodies for tissue staining. Using the latest conferencing and collaborative reporting solutions our pathologists work with pathology expert panels. Expertise and access to virtual microscopy tools such as Aperio ScanScope helps ISYS pathologists to work in close collaboration with international clinical, preclinical and in vivo teams.
